こんにちは。神戸市東灘区にある木下歯科医院です。

歯の詰め物は虫歯の治療や歯の欠けを補うために欠かせないものですが、種類が多く「どれを選べばいいの?」と悩む方も多いのではないでしょうか。詰め物には保険が適用されるものと自費診療のものがあり、素材や見た目、耐久性に大きな違いがあります。
この記事では、歯の詰め物の種類を詳しく解説し、選択する際のポイントもご紹介します。
歯の詰め物が必要となる理由

歯の詰め物は、見た目を整えるためだけのものではありません。虫歯や外傷によって失われた歯の機能を補い、将来的なトラブルを防ぐために使用されます。ここでは、歯の詰め物が必要とされる主な理由を、できるだけわかりやすく解説します。
歯の機能を回復させるため
詰め物には、食べ物をしっかり噛めるようにするという大切な役割があります。歯の一部が失われた状態では、噛む力が均等にかからず、食事のときに不便を感じたり、ほかの歯に負担がかかったりすることがあります。
また、正しい噛み合わせを保つことは、顎の関節や筋肉の健康にも関係しており、詰め物によってそれをサポートすることができます。単なる修復ではなく、歯の本来の働きを取り戻すための重要な処置なのです。
歯を補強するため
虫歯を削ると、歯の一部が欠けたような状態になります。そのままにしておくと、噛む力が加わったときに割れたり欠けたりするリスクがあります。特に奥歯のように強い力がかかる部分では、補強が必要です。
そのため、歯の形や噛み合わせを整えると同時に、強度を保つために詰め物をします。これにより、歯としての機能を長く維持できるようになります。
再感染を防ぐため
虫歯治療では、感染した歯質をすべて取り除いたうえで詰め物を装着します。詰め物と歯の間に隙間があると、そこから細菌が侵入して虫歯が再発する可能性があります。
詰め物は単なる補修材ではなく、細菌の侵入を防ぐバリアとしての役割も果たしています。しっかりと適合した詰め物を装着することで、治療後の歯を長く健康に保つことができます。
保険が適用される歯の詰め物の種類

ここでは、保険が適用される詰め物の種類をご紹介します。
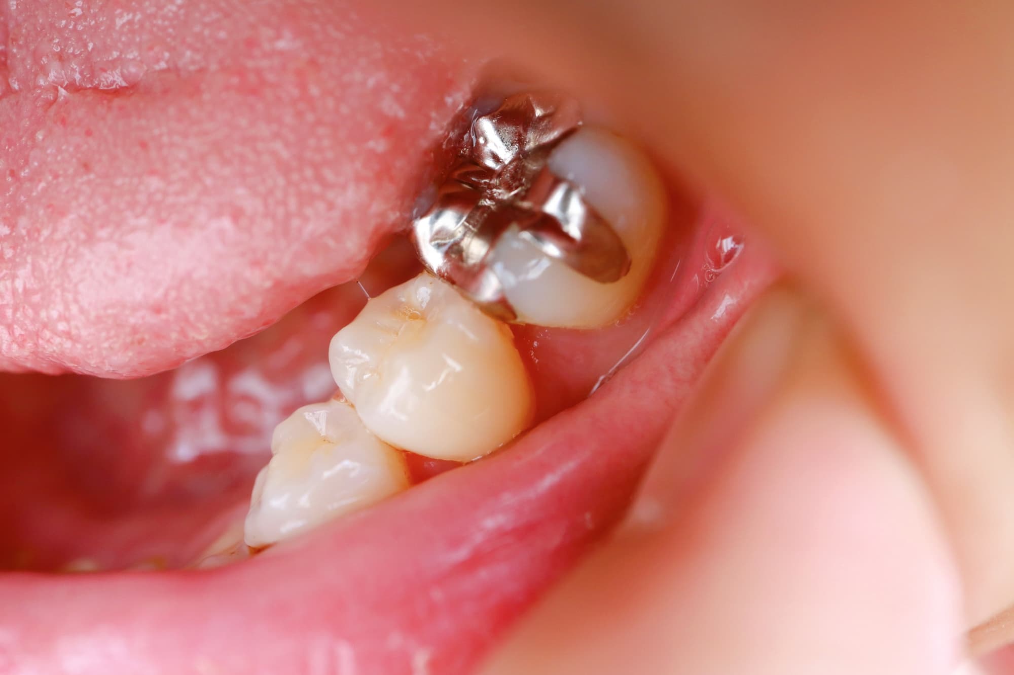
銀歯
銀歯は、保険診療で使用される金銀パラジウム合金という金属で作られた詰め物です。古くから日本の保険治療で広く使われてきました。金属で作られているため、非常に硬く、奥歯など噛む力が強くかかる部分でもしっかりと機能します。
一方で、銀歯は見た目が金属色のため、口を開けたときに目立ちやすいというデメリットがあります。また、長期間使用していると、金属イオンが溶け出して、歯ぐきが黒ずんだように見えることがあります。
体質によっては金属アレルギーを引き起こすリスクもあるため、素材を選択するときには注意が必要です。
コンポジットレジン
コンポジットレジンは、歯科用のプラスチック素材で、小さな虫歯の治療などに幅広く使われています。白い色をしているため、見た目も自然で目立ちにくいです。
コンポジットレジンの大きな特徴は、その場で歯科医師が歯の形に合わせて詰めて固めることができる点です。これにより、歯を削る量を最小限に抑えることができ、患者さまの負担も軽減されます。また、型取りの必要がないため、1回の通院で治療が完了することもあります。
ただし、耐久性の面では金属系の詰め物に劣り、特に奥歯など噛む力が強くかかる部分では、欠けたりすり減ったりする可能性もあります。
自費の歯の詰め物の種類

自費診療では、見た目の自然さや耐久性に優れた素材を選ぶことができ、審美性を重視する方にとっては大きな魅力があります。治療費は高くなりますが、その分、仕上がりや機能面での満足度は高くなる傾向があります。
ここでは、自費診療で使用される代表的な詰め物の種類について詳しく見ていきましょう。
オールセラミック
オールセラミックは、全体がセラミックでできた素材です。透明感があり天然の歯に非常に近い白さを持っています。まわりの歯とのなじみがよく、詰め物だと気づかれにくいため、見た目を重視したい人に人気があります。
また、オールセラミックは金属を使っていないため、金属アレルギーの症状が現れる心配がありません。変色しにくく、長く美しい状態を保てるのも大きな特徴です。
ジルコニア
ジルコニアは、人工ダイヤモンドと称されるほど高い硬度を持つセラミックの一種です。強度と耐久性に優れ、奥歯のように強い力がかかる部位にも使用できるほど丈夫です。
また、白く自然な色合いをしているため、審美性にも優れています。変色の心配もなく、金属を一切含まないため金属アレルギーの症状が現れるリスクもありません。
ただし、非常に硬いため、場合によっては周囲の歯を傷つける可能性があることや、費用がやや高額になる点を考慮して選択する必要があります。
e-max
e-maxとは、ニケイ酸リチウムガラスを主成分とした素材です。セラミック素材のなかでも透明感が高く、天然の歯に非常によく似た美しい見た目を実現できるのが特長です。特に前歯や人から見えやすい部位の治療に使用されることが多く、見た目を重視する方に選ばれています。
また、e-maxは硬すぎず適度なやわらかさがあるため、噛み合う歯を傷つけにくいというメリットもあります。さらに、金属を一切使用していないため、金属アレルギーの症状が現れる心配がありません。
口の中の衛生状態にも影響しにくく、虫歯の再発リスクも低減できるとされています。
ただし、強い衝撃が加わると割れることがあるため、利用する部位によっては注意が必要です。
歯の詰め物を選ぶときのポイント

歯の詰め物を選ぶときは、見た目の美しさ、耐久性、アレルギーの有無、費用など、さまざまな視点から判断することが大切です。ここでは、歯の詰め物を選ぶときのポイントについて解説します。
見た目
前歯に近い部分や、口を開けたときに目につく位置にある歯には、できるだけ自然な色や質感の詰め物を選ぶことで、口元に自信を持つことができます。
オールセラミックやジルコニアなどは、見た目が天然の歯に近く、自然な笑顔を保ちやすいという特徴があります。そのため、見た目を重視する人に選ばれています。
耐久性
奥歯は強い咬合力がかかるため、詰め物の強度が重要になります。金属やジルコニアは高い耐久性があり、長期間安定しやすい素材です。
一方で、コンポジットレジンはやわらかく、大きな力が加わる部位では摩耗が進みやすい傾向があります。歯ぎしりや食いしばりの有無も、素材選びに影響します。日常の噛み方を踏まえて判断することが大切です。
費用
詰め物の費用は、保険診療と自由診療で大きく異なります。保険が適用される素材は1〜3割の自己負担で治療できる一方、自由診療の素材は全額自己負担となるため、治療費が高くなる傾向があります。
自費診療の素材でも、セラミックの種類や使用する歯科医院によって価格に幅があるため、事前に見積もりを確認し、納得したうえで選ぶことが大切です。費用と品質のバランスを考え、自分に合った素材を選ぶようにしましょう。
金属アレルギー
金属製の詰め物を使用した場合、まれに体質によって金属アレルギーの症状が現れることがあります。症状としては、口の中の炎症、皮膚のかゆみ、発疹などが挙げられます。特にパラジウムやニッケルなどの成分に反応しやすい方は注意が必要です。
過去に金属アレルギーの症状が出たことがある方や、アレルギー体質の方は、金属を使わないセラミック系の詰め物を検討するとよいかもしれません。
まとめ

歯の詰め物には、保険診療で使われる銀歯やコンポジットレジン、自費診療で選択されるオールセラミックやジルコニア、e-maxなど、さまざまな種類があります。
それぞれに見た目、耐久性、費用、金属の有無といった違いがあり、治療する歯の位置や噛み合わせの状態によって向き不向きが分かれます。どの素材にも長所と注意点があるため、一つの基準だけで判断するのではなく、総合的に比較することが大切です。
審美歯科での治療を検討している方は、神戸市東灘区にある木下歯科医院にお気軽にご相談ください。
当院では、虫歯・歯周病治療や入れ歯治療、インプラント治療など、さまざまな診療に力を入れています。ホームページはこちら、無料相談も行っておりますので、ぜひご覧ください。
