こんにちは。神戸市東灘区にある木下歯科医院です。

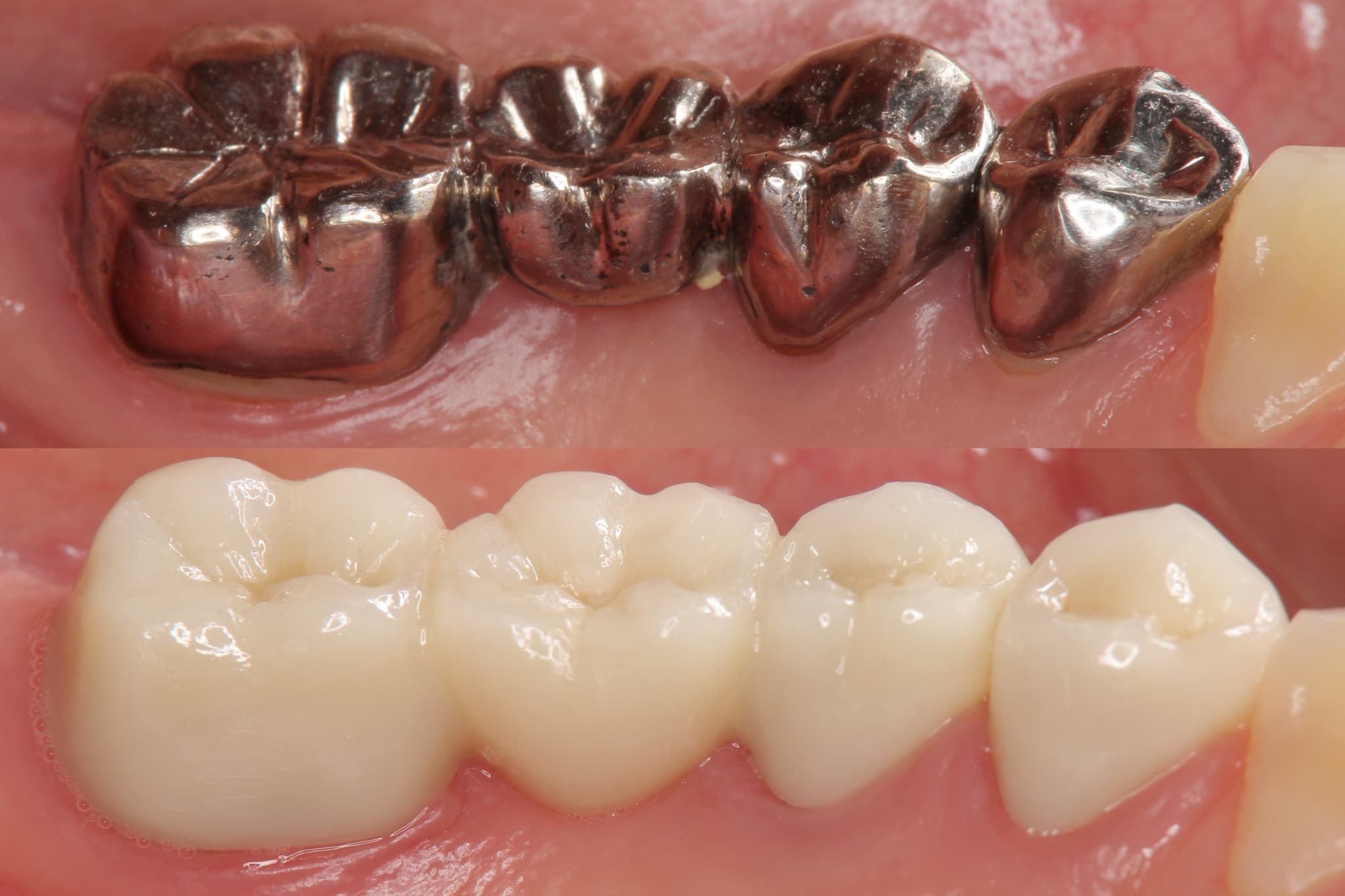
「銀歯を白くしたい」「銀歯を白い歯に変えたい」とお考えの方も多いのではないでしょうか。銀歯は目立ちやすく、笑ったときに見えやすいため、見た目が気になる方が少なくありません。
この記事では、銀歯を白くする方法にはどのようなものがあるのか、銀歯を白くするとどんなメリットがあるのかなどを解説します。治療後の注意点も解説しますので、ぜひ参考にしてください。
銀歯とは

銀歯とは、虫歯治療などで用いられる金属製の詰め物(インレー)や被せ物(クラウン)のことです。主に金銀パラジウム合金が使用されます。耐久性が高く安価なことから、歯科治療において長く使用されてきました。
しかし、金属アレルギーの症状を引き起こすリスクがある点には注意が必要です。年月が経つと、銀歯の表面がすり減って細かい傷に歯垢や着色が付着し、虫歯や歯周病のリスクが高まる可能性もあります。銀歯の表面が変化すると、口を開けたときに黒く見えることもあるため、見た目の印象が悪くなるといった悩みも少なくありません。
銀歯を使用する際はメリットだけでなく、長期的な見た目や健康面への影響も考慮することが大切です。
銀歯を白くする方法

銀歯は口を開けたときに金属色が目立つため、見た目を気にする方にはあまり好まれていません。そこで注目されているのが、コンポジットレジンやセラミックなどの白い素材です。これらの素材を使用した詰め物(インレー)や被せ物(クラウン)は、銀歯とは異なり装着していても目立ちません。
ここでは、銀歯を白くする方法や使用される素材を紹介します。
保険診療
銀歯を白くする方法には、保険診療のものと自費診療のものがあります。ここではまず、保険診療のものを紹介します。健康保険が適用されるため、費用を抑えやすいのが特徴です。
コンポジットレジン
コンポジットレジンとは、歯科治療で使用されるプラスチック製の素材です。歯を削った部分にレジン(樹脂)を詰め、周囲の歯と同じように白く仕上げます。自然な見た目になるのが大きな特徴で、金属アレルギーの心配もありません。
一方で、強度は金属やセラミックと比べるとやや劣ることがあります。奥歯などに使用する際には注意しましょう。また、コーヒーやワインなどによって変色しやすい点も注意が必要です。
硬質レジン前装冠
硬質レジン前装冠は、金属の土台の上に白いレジンを組み合わせたもので、強度を保ちながら白さを実現できる治療方法です。奥歯にも使用できるのが特徴です。
ただし、内部に金属を使用しているため、アレルギー症状を引き起こす可能性があります。
CAD/CAM冠
CAD/CAM冠とは、コンピューターによって設計された、詰め物(インレー)や被せ物(クラウン)のことです。主にセラミックとレジンを混ぜ合わせたハイブリッドレジンが使用されます。金属アレルギーの心配がなく審美性も高いですが、長期間使用していると摩耗したり変色したりするおそれがあります。
自費診療
次は、自費診療のものを紹介します。保険が適用されないため費用は高額になりやすいですが、その分、審美性や耐久性などに優れた素材を自由に選択することができます。
オールセラミック
オールセラミックとは、全体がセラミックだけで作られたもののことです。天然歯のような透明感と色合いが特徴であり、口を開けても目立ちにくいでしょう。ただし、強い衝撃が加わると欠けたり割れたりすることがあり、銀歯と比べると強度が劣る点には注意が必要です。
ジルコニア
ジルコニアは、人工ダイヤモンドとも呼ばれるほど硬く、耐久性に優れたセラミック素材です。強度が必要とされる部位にも使用できる反面、オールセラミックほど柔軟性がないため、噛み合う歯を傷つける可能性があることには注意が必要です。
メタルボンド
メタルボンドは、内側に金属を使用し、外側にセラミックを焼付けしたものです。強度と審美性のバランスに優れており、奥歯の治療にも使われています。金属を使用しているため、強度が高く、歯ぎしり・食いしばりの強い方でも適応しやすいのが特徴です。
また、金属を使用しているため、強い力がかかった際の破損リスクが低いというメリットがあります。一方、銀歯と同様に金属を使用しているため、時間が経過すると金属イオンが溶け出すことがあり、金属アレルギーの方は使用できません。
銀歯を白くするメリット

銀歯を白くすることで得られるメリットは、以下のとおりです。
見た目が自然で美しい
銀歯を白くすると目立ちにくくなり、自然な見た目になります。特にセラミックは天然の歯に近い色や質感を持っているため、気づかれることはほとんどありません。そのため、見た目を気にする方に非常に人気です。
また、銀歯を長期間使用していると歯ぐきが黒ずんでくることがありました。しかし、セラミックなどでは長く使用していても歯ぐきが黒ずむことは少ないとされています。長期にわたって高い審美性を維持できるのは、大きなメリットだといえるでしょう。
金属アレルギーのリスクが低い
銀歯は金銀パラジウム合金などの金属を使用しているため、長期間使用していると金属がイオンとして溶け出し、アレルギー症状を引き起こすことがあります。かゆみや赤み、腫れ、湿疹などを過去に起こした方は注意が必要でしょう。
その点、コンポジットレジンやセラミックのほとんどは金属を使用しないため、金属アレルギーが発症することはありません。体にも優しい選択肢だといえます。
ただし、硬質レジン前装冠とメタルボンドは内側に金属を使用しているため注意してください。
虫歯や歯周病の再発を予防できる
銀歯をセラミックなどに変えると、虫歯や歯周病のリスクを低く抑えられます。銀歯では歯を磨くのが難しくなるため、虫歯になりやすいといわれています。
しかし、セラミックは表面が滑らかなため、磨きやすいです。特に、治療済みの歯は虫歯が再発しやすいため、白くすることで二次虫歯の予防につながるでしょう。
しっかり咀嚼できる
奥歯などを治療する際、かたくて耐久性に優れた素材を選ぶことで、天然の歯と同様にしっかりと咀嚼できるようになります。食べ物を噛むことは歯としての最低限の機能の1つであり、この機能をしっかり補えるのは非常に重要なポイントです。
銀歯を白くするデメリット

銀歯を白くすることには、メリットだけではなく、いくつかのデメリットもあります。検討する際には、以下のポイントも理解しておくことが大切です。
費用が高くなる傾向にある
セラミックは保険診療の銀歯とは異なり、保険が適用されないため高額になりやすいです。さまざまな選択肢の中から自分に合ったものを選べるのは大きなメリットですが、費用が高額になる点には注意が必要です。必ず、事前に歯科医師とよく相談しましょう。
治療期間や通院回数が増える
銀歯による治療からコンポジットレジンやセラミックを使用した治療に移行する場合、治療期間が延びたり通院回数が増えたりすることがあります。そのため、通院にかかる手間や費用の負担が増加するかもしれません。
割れたり違和感を覚えたりすることがある
銀歯を白くした後の歯は、強い衝撃を与えると割れたり欠けたりすることがあります。また、うまくフィットしていないと違和感を覚えることもあるでしょう。
詰め物(インレー)や被せ物(クラウン)は患者さまの歯に合うように作られますが、万が一使用していて違和感を覚えた場合は歯科医師に相談しましょう。トラブルが起きていた場合、早期に発見し対処することが重要です。
銀歯を白くした後の注意点

銀歯を白くする場合、歯科医院で治療を受けてそれで終わりではありません。治療を受けた後の過ごし方やメンテナンスが非常に重要になります。
ここでは、銀歯を白くした後の注意点を紹介します。
毎日のセルフケアを欠かさない
口腔内の健康を維持するためには、毎日の歯磨きが欠かせません。特に、詰め物(インレー)や被せ物(クラウン)と天然歯の境界部分は汚れがたまりやすいため、デンタルフロスや歯間ブラシなども活用しながら丁寧にケアを行うことが大切です。
汚れが残っていると、虫歯や歯周病、変色などの原因になることがあるため、意識的に除去するよう心がけましょう。
定期的に通院する
治療が完了した後も、定期的に通院してメンテナンスを行うことが重要です。治療の結果を長期間維持するためには、プロフェッショナルクリーニングや適切な口腔ケアが必要です。3~6か月に1回を目安に、定期的に通院するようにしましょう。
まとめ

銀歯は金属色が目立つため、近年は白くて目立ちにくいものが選ばれるようになってきました。保険診療のものと自費診療のものがありますが、ご自身に合ったものを選ぶことが大切です。銀歯を白くしようと考えている方は、ぜひ歯科医師に相談してみてください。
銀歯を白くしたいとお考えの方は、神戸市東灘区にある木下歯科医院にお気軽にご相談ください。
当院では、虫歯・歯周病治療や入れ歯治療、インプラント治療など、さまざまな診療に力を入れています。ホームページはこちら、無料相談も行っておりますので、ぜひご覧ください。
